手の傷病

HOME | 手の傷病

 

 

屈筋腱鞘滑膜炎

指の腱鞘炎・屈筋腱鞘炎・弾発指・バネ指
Stenosing Flexor Tenosynovitis, Trigger Finger (Thumb)


 
 
 
 
 腱鞘炎とは、皆さんがよく聞く言葉であると思います。しかしクリニックに来られた方に『腱鞘炎ですね!』と言うと『これが腱鞘炎ですか・・・?』という返答が帰ってきます。
 
 指を動かした時に生じる『指の付け根の手のひらの痛み』から始まり、『指の関節がバチンと弾くような感じ(弾発現象)』を生じ、さらに進行すると『指が曲がらない』、あるいは『引っかかって伸びなく』なってしまう病気が腱鞘炎です。

 疼痛の原因は主には指の使い過ぎによる腱鞘内の炎症ですが、長引けば腱鞘が厚くなり、腱も腫大して引っかかりが起こります。痛みがなくなってから引っかかりが起こることが多いため、多くの患者さんは重症化して指か伸びなくなってから、あるいは指の関節に痛みが出てから来院されることが多いようです。腱鞘炎が重症化して腱の滑走に抵抗を生じると指の運動に余計に力が必要になり、その力は関節に掛かってきます。結果、関節の軟骨が傷んだりします。こうなると治るのに時間が掛かります。

 腱鞘炎は軽症であれば、8割は保存的管理(ステロイドの腱鞘内注入・安静)により治癒すると言われています。しかし、慢性化したり重症化すると、症状を改善するために手術が必要になります。手術は通常は局所麻酔下に行われ、腱鞘上の約1cmの皮膚切開から腱鞘を切り開きます。手術して切り開いた腱鞘は内腔が広がった状態で治癒しますから心配いりません。症状を改善させるために、同時に腱鞘内に増生した滑膜の切除や拘縮した関節の授動が必要になることがあります(ご注意:傷の小ささは、必ずしも良い結果と結びつきません。操作を安全に行い、最良の結果を得るために、必要十分な皮膚切開を行う必要があります)。
 
 腱鞘炎の手術は、単純で短時間で終わるものではありますが、決して簡単な手術ではありません。術前より必ず状態を改善させるためには、術者が解剖と病態を熟知していることが必須です。

 

 

 

絞扼性神経障害

手根管症候群・肘部管症候群・ギヨン管症候群・円回内筋症候群・橈骨神経管症候群
Entrapment Neuropathy : Carpal Tunnel Syndrome, Cubital Tunnel Syndrome, Guyon Canal Syndrome, Pronator Teres Syndrome, Radial Tunnel Syndrome


手根管症候群による母指球筋の萎縮
 

肘部管症候群による鷲手変形

 
 
 
 
 手がしびれると、多くの方は頭や首からの症状では?と心配されるかも知れませんが、実は腕の中での神経の圧迫によるものが多いのです。これは絞扼性神経障害(こうやくせいしんけいしょうがい)と呼ばれます。

 代表的なものに、更年期や出産後の女性に多い『手根管症候群』、手をよく使う男性に多い『肘部管症候群』があります。前者では手首で正中神経が圧迫され、母指・示指・中指・環指がしびれます。 症状は手指がむくむ明け方に増悪し、腱鞘炎を合併することも多いのが特徴です。後者では肘の内側で尺骨神経が圧迫され、環指・小指がしびれます。肘を曲げていると症状が増悪するのが特徴です。どちらも、神経の炎症による疼痛、感覚神経の麻痺症状であるしびれや知覚の障害、筋肉の麻痺による手指の運動障害・筋肉の萎縮を生じます。

 治療は、初期には関節を動かさないよう安静を保つだけでも症状が改善することがあります。炎症による疼痛には、ステロイドの注入がよく効きます。しかしながら、麻痺症状が進行すると、これを改善させるために手術が必要になることがあります。初期の痛みが落ち着くと症状はゆっくりと進行するため、重症化してから病院を受診される方も多く、この場合には手術をしても手遅れになることがあります。

 『物をよく落とす』、『箸が使いづらい』、『小さな物を摘みにくい』、などの症状が出始めたら、麻痺を残さないために早期に適切な治療を行うことが重要です。

 

 

変形性関節症

母指CM関節症・へバーデン結節・ブシャール結節
Osteoarthrosis


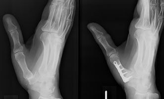
DIP関節症に対する関節固定術
 

PIP関節症に対する人工関節置換術
 
 

母指CM関節症に対する関節固定術(左)と関節形成術(右)

 
 
 
 
 手指の関節痛の原因として多いのが、変形性関節症です。指には末梢からDIP, PIP, MP, CMという4つ(母指はIP, MP, CMの3つ)の関節があり、いずれも長年使い続ければ、徐々に軟骨がすり減り、骨が変形していきます。DIP(IP)関節に起こるものは『ヘバーデン結節』、PIP関節に起こるものは『ブシャール結節』と呼ばれることがありますが、それらを最初に文献に記した医師の名を冠したものです(ただし、レントゲン写真が発明される100年も前のことなので、実際には何を指しているのかは不明です)。母指のCM関節も変形が起こりやすく、手の機能障害の原因となります。
 
 これは決して病気ではなく、長年にわたる関節の運動によるものであり、その進行度は個人の手の使い方や体質にも依存するため、誰もが同じように変形を起こす訳ではありませんが、程度の差こそあれ、そして遅かれ早かれ、どの関節にも変形は起こってきます。
 
 症状は、初期にはこわばり、強く曲げた時や押したときの関節の痛みが主ですが、進行すると関節の変形から可動性が障害されたり、骨破壊によって関節が不安定になることもあります。痛みは、必ずしも変形の程度と相関しません。関節の腫脹・発赤・疼痛など炎症の症状が強い場合には、リウマチと鑑別するために血液検査が必要です。
 
 治療は、手指の安静が原則です。安静が保てれば、症状は自然に鎮静化することが多く、変形の急激な進行も予防できます。痛みが強い場合には、指の固定や関節内へのステロイド注入(当院ではおすすめしません)が行われる場合があります。変形が進行して、疼痛の強い関節、可動域が大きく損なわれた関節や高度に不安定な関節に対しては、症状を改善させるため、あるいは整容を目的として手術が行われることがあります。手術は、人工関節置換術を含めた関節形成術か関節固定術となります。

 

 

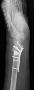
橈骨遠位端骨折と橈骨遠位端変形治癒骨折

Distal Radius Fracture and Malunion

 
 


橈骨遠位端関節内粉砕骨折の術前(上)と術後(下)
 
 
 
 
 橈骨遠位端骨折は、通年ですべての年齢層において最も多い上肢の骨折の一つです。骨折の主な原因は、転倒や高所から転落して手をつくことですが、手を強く捻って受傷することもあります。本骨折は、ケガの仕方、外力の大きさや骨の強さにより折れる場所や折れ方に様々なタイプ(型)があるのが特徴であり、尺骨や手根骨の骨折、手関節の靭帯損傷や神経障害を合併することもあります。

  治療法は、骨折の型、骨折の徒手整復の可否、そして合併症の有無により異なり、比較的軽いものには保存的治療が、変形が大きかったり粉砕していたり骨折が関節内に及ぶ重症例には手術が行われてきました。しかしながら、近年は一人暮らしのご高齢の方の増加により、さほど重症でない骨折に対しても、早期から手の使用を可能とし、後遺障害を少なくするために手術を行うことが多くなってきています。

 
 手術には、経皮的に鋼線を刺入して固定するピンニングや骨折部を直視下に整復してプレート固定する観血的手術があります。術後には早期の機能回復を目的としてリハビリ(作業療法)を行うことがあります。
 
 大きな変形を残して骨が癒合すると手関節の疼痛や手指の機能障害が残存したり、将来、二次性の変形性関節症を生じる原因となることがあります。骨の変形による症状を改善させるために、矯正手術(骨切術)が必要になることがあります。

  『骨折したのだから障害が残っても仕方が無い』という考え方は過去のものです。将来なるべく不自由をしないために、きちんとした診断と適切な治療を受けられて下さい。新鮮な骨折はもちろん骨折後の障害についても、お気軽にご相談下さい!

 

橈骨遠位端変形治癒骨折の術前(左)と術後(右)

 

 

尺骨突き上げ症候群

Ulnar Impaction Syndrome

 
 

遠位橈尺関節の不安定性を伴う尺骨突き上げ症候群に対する尺骨短縮術の術前(左)と術後(右)。術後には関節の不安定性が消失し、疼痛も出現しなくなった。

 
 
 
 
 
 前腕にある2本の骨:橈骨(とうこつ)と尺骨(しゃっこつ)の長さが有意に異なることによって起こる障害の一つです。尺骨突き上げ症候群は、尺骨が橈骨よりも長いことによって起こる手関節尺側部の障害の総称です。尺骨が橈骨より長いこと自体は悪いことではありませんが、長年の使用により疼痛を生じる原因となる場合があります。尺骨が長くなる原因のほとんどは先天的な素因によるものですが、橈骨の骨折によって生じることもあります。
 
 症状は、手の使用に伴う手関節尺側部の疼痛ですが、疼痛の原因は、尺骨の突き上げによる三角線維軟骨(関節円板)の損傷、手根骨の挫傷、橈尺靱帯の損傷のほか、橈尺関節の不適合による関節症変化など様々であり、これが”症候群”と呼ばれる所以です。
 
 治療は、症状の原因に対してピンポイントに行うことが原則ですが、尺骨突き上げ症候群においては『どの要素が最も症状に関与しているか?』を見極めることが困難であるため、相当期間の安静を保っても症状が改善しない場合には、すべての要素を同時に治療すべく『尺骨短縮(骨切り)術』を行います。
 
 具体的には、前腕尺側の皮膚切開から尺骨を骨切して短縮し、プレートとスクリューを用いて固定します。しっかりと固定されれば早期から簡単な手の使用は可能ですが、手関節に負荷が掛かる動作・業務・スポーツは、3ヶ月ほど控えていただく必要があります。

 

 

槌指(つちゆび)・マレットフィンガー

末節骨骨折・伸筋腱断裂・スワンネック変形
Mallet Finger

 
 
 
マレット変形
 

スワンネック変形
 
末節骨裂離骨折の経皮ピンニング

 
 
 
 
 槌指とは木槌(マレット)のように変形した指を指す言葉であり、これには、末節骨の伸筋腱が付着する部位の裂離骨折によっておこるものと、伸筋腱の終止腱の断裂によっておこるものが含まれます。
 
 いずれの場合も、症状はDIP関節の自動伸展障害ですが、放置するとスワンネック変形(白鳥の首様の変形)を生じます。さらに、骨折の場合には早期にDIP関節の変形性関節症を生じる原因となることがあります。
 
 治療は、骨折があれば骨片の整復・固定を行うことで良好な結果が得られます。腱断裂の場合には2ヶ月間の外固定により4割の指に良好な結果が得られますが、6割の指には様々な程度(5〜20°)のDIP関節伸展障害が残存します。結果は、どれだけ早期に固定を開始できたか?と、どれだけしっかりとDIP関節の伸展位固定を維持できたか?にかかっており、ただ単に固定していたら治る、というものではありません。
 
 陳旧例で骨の変形癒合がある場合には、骨切術により変形の矯正が可能です。腱断裂の陳旧例では、手術による腱の縫縮あるいは腱移行術によって変形の矯正が図られます。
 

腱性槌指のスプリント固定の一例

末節骨変形治癒骨折の骨切術(左:術前・右:術後)